De langueta
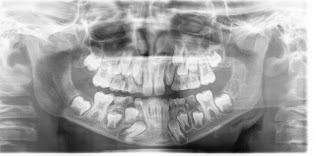
Ao Leo caiulle o outro día un dente e aínda lle faltan algúns por caíren. Na foto mírase a irrupción dos dentes novos que uns van ben polo sitio dos de leite e outros entran de lado ou de langueta.
De langueta é una expresión que oín no choio e vén a dicir de refilón, de medio lado ou de raspallón; vamos, que non vai dereito.
Busquei na interrede e topei esa expresión en dous sitios: nun coa forma " de lanqueta " e outro no disionario morrasense - jodechinchos que me trae outras marabillas como rever, esquighama, xurdir, sanjoleo, rapacús, jarrucho, nazar, macancúa, falchoca, cuca, carolo, alcaldesa ou bichuncho.
Hai muito que aprender !.


2 comentarios:
Txiiiiiiiiiiiiiiiii. A julgar pelo RX pode ir preparando a verba para um aparelho corrector.
Abraço
xa vexo ao leo cos braquets
e o das palabras... son moitas, para unha memoria tan pequena coma a miña
Publicar un comentario
És humano ti ?
Subscribirse a Publicar comentarios [Atom]
<< Inicio